【导读】带状疱疹(蛇缠腰)主要特点为簇集水泡,沿一侧周围神经作群集带状分布,常伴有神经痛。
合肥肤康皮肤病医院带状疱疹专家主任指出:带状疱疹(蛇缠腰)发病时表现出的皮肤的病变主要在表皮,水疱位于表皮的深层,在疱内及边缘处可见肿胀的气球状表皮细胞。
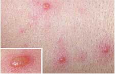
一、带状疱疹(蛇缠腰)有哪些具体症状呢?
一:带状疱疹(蛇缠腰)是常常突然性的发生。发病前皮肤的局部的位置会先有灼痛感,同时可伴有轻度的发热、疲倦无力等等的全身症状。
二:带状疱疹(蛇缠腰)的主要特征就是神经痛。大多数的患者都有持续性的疼痛,而且就算是在皮疹康复后,这种疼痛仍然是不消失的。
三:带状疱疹(蛇缠腰)常常会发于胸背部的“肋间神经”、头面部的“三叉神经”等等的部位,并时常会伴有局部淋巴肿大的其他症状。
四:带状疱疹(蛇缠腰)发病前驱症状表现常为:沿发病部位神经干周围及所属部位的淋巴结会持续约三天的疼痛及肿胀。
二、带状疱疹有哪些分类及症状

1、顿挫型带状疱疹(蛇缠腰):仅发生红斑、丘疹、而不形成水疱,即自行消退。
2、出血型带状疱疹(蛇缠腰):水疱内容为血液。
3、坏疽型带状疱疹(蛇缠腰):水疱中心出现坏死,呈褐色结痂,痂下为溃疡,愈后有疤痕。
4、泛发型带状疱疹(蛇缠腰):病毒通过血行播散,全身泛发水痘样皮疹,伴高热、肺、脑等全身中毒症状,病情严重,可导致死亡。
5、眼带状疱疹(蛇缠腰):如累及角膜,水疱破溃,形成溃疡性角膜炎,愈后留有角膜疤痕而失明,严重者甚至发生全眼球炎。
6、耳带状疱疹(蛇缠腰):由于病毒膝神经节,影响面神经和听神经的感觉神经纤维,使外耳道出现水疱、面瘫、及内耳功能障碍(耳鸣、耳痛)称为Ramsay-Hunt综合症。
7、内脏带状疱疹(蛇缠腰):病毒由脊髓神经节侵及交感神经及副交感神经的内脏神经纤维,引起胃肠道及泌尿道症状,病毒从脊髓神经前、后根向上侵及中枢神经系统,表现脑膜炎。
三、治疗带状疱疹的方法:
生化筋络阻滞疗法:整合四项先进技术,治疗带状疱疹(蛇缠腰)。在带状疱疹(蛇缠腰)的治疗方面,合肥肤康皮肤病医院专家采用“生化筋络阻滞疗法”进行治疗。该疗法整合四项诊断、治疗技术,在中医治疗的基础上,配合高频超声检查仪、红光光动治疗仪等设备,针对不同患者制定个性化临床治疗方案,缩短治疗时间,不留任何后遗症。
1、高频超声检查:有效诊断,避免误诊。
2、红光光动治疗:体外辅助治疗,缩短治疗周期。
3、三维生物排毒疗法:清除病源,避免复发。
4、神经阻滞治疗:局部渗透给药,后遗症。
四、国内各大媒体争相报道好疗法

合肥肤康皮肤病医院自主研发的"生化筋络阻滞疗法",发挥华夏中医的优势,综合治疗带状疱疹(蛇缠腰),五十多家好媒体--CCTV、新浪视频、 搜狐视频、腾讯视频等好传媒,《人民日报》、《中国青年报》、《工人日报》等50家大众纸媒,争先报道了合肥肤康皮肤病医院"生化筋络阻滞疗法"让带状疱疹不再复发。
五、药物治疗反复发作 合肥肤康皮肤病医院一次康复

黄先生在我院治疗前后对比图
患者:黄先生
患病时间:2个月
带状疱疹(蛇缠腰)可真是把我折磨苦了,疼的时候真是要命,一直以来我都没有找到一种有效的治疗方法,反正就是口服一些抗病毒的药物,可是这些药物又不能长时间口服,可是有时候确实是疼的没有办法,我只能是吃这些药物。后来朋友推荐我来合肥肤康皮肤病医院,这才把这病给治好了。皮肤专科医院就是好,值得信赖。
>>我有类似情况,我要预约专家号<<
六、治带状疱疹,市民首选合肥肤康皮肤病医院
合肥肤康皮肤病医院是国内重点皮肤病专科医院、疑难皮肤病康复基地。建院至今,始终坚持“中医为本、西医为用,中西结合”的诊疗原则。多次特邀出席国际技术探讨会议,如亚太皮肤科学论坛、诺贝尔医学峰会、国际皮肤病学诊疗新技术推广大会等,获得卫生部原副部长孙隆椿亲笔题词。

专家忠告:带状疱疹(蛇缠腰)患者应早治疗,以免痛苦缠身。如果您还有疑问,请点击咨询或拨打热线(点击可直接免费拨打)了解,合肥肤康皮肤病医院皮肤科祝您健康。
>>点击抢先预约专家,免除排队等候<<