亲爱的网友你好!我是合肥肤康皮肤病医院专家助理,知道你想了解阴囊湿疹的病因?下面花2分钟阅读文章吧,相信你一定会有所收获。
阴囊湿疹是怎么回事?是什么原因引起?
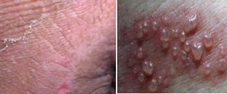
阴囊湿疹是一种由多方面因素引起的阴囊皮肤病,急性期以丘疹、糜烂、渗出为主,在慢性期以表皮肥厚和苔藓样变为主的一种瘙痒性皮肤病。


导致阴囊湿疹比较常见的原因包括——
外在因素:如生活环境、气候的变化;此外,局部的不注意卫生,以及骚抓等,也是导致阴囊湿疹的重要因素;
内在因素:如慢性消化系统疾病、胃肠功能紊乱以及新陈代谢等,都可产生或加重病情。
友情提醒:产生阴囊湿疹需要尽快进行治疗,阴囊湿疹带来的瘙痒、结痂、疼痛、不仅对性生活有影响还会造成一定心理压力。
特色疗法:中药净肤熏蒸脱敏疗法
治疗阴囊湿疹,合肥肤康皮肤病医院将传统汉方结合最新脱敏技术研发的特色疗法“中药净肤熏蒸脱敏疗法”。中医汉方除湿排毒,西医科技生物共振快速脱敏,光波导融渗透定位脱敏,治疗简便,疗程短,当天即可止痒,3-5天快速康复。
合肥肤康皮肤病医院经卫生部批准成立的皮肤病研究所专注于各种皮肤顽疾的科研与治疗工作,对于阴囊湿疹的治疗,研究所研制的“中药净肤熏蒸脱敏疗法”已经为众多阴囊湿疹患者解决了复发难题,成为了阴囊湿疹患者心目中治疗湿疹的好方法。

四大治疗优势
1、见效快,疗程短。临床显示,当天即可止痒,一周之内可康复;
2、治疗简便,费用低。随治随走,比传统疗法费用降低30%。
3、标本兼治,抗复发。汉方内部湿毒,光波导融定位渗透,抗复发。
4、绿色脱敏,无副作用。采用绿色脱敏制剂,无副作用,对身体无伤害。
康复案例
【患者信息】:李先生,29岁
【所患疾病】:阴囊湿疹
【主治医师】:主任医师
【主诉症状】:阴囊瘙痒
【治疗效果】:已康复

治疗前后对比图
李先生是一家大型广告公司的负责人,他患有阴囊瘙痒的症状好几年了,而且阴囊上长有丘疹,很多时候都是能忍就忍,基本没有去过医院,没想到夏天的到来,他的阴囊瘙痒状况越来越糟,白天工作好点,一到睡觉感觉痒,难受,要热水烫感觉挺过瘾,好像越来越不怕烫了,看皮肤也没有什么症状,李先生觉得不能再拖,于是就前往合肥肤康皮肤病医院看病。
经过医院医生的检查和诊断,确诊为阴囊湿疹,医院医生推荐李先生采用医院的"中药净肤熏蒸脱敏疗法",从根本上治疗阴囊湿疹,经过两天的治疗,李先生的状况得到了很好的治疗效果,阴囊湿疹的状况慢慢消失了。事后李先生特意送来了锦旗,感谢合肥肤康皮肤病医院治好了他的病。
好专家 好疗效
众所周知,看病就是看名医!合肥肤康皮肤病医院由肤康总院长吕忠生领衔,汇聚原医大附院、省立医院知名专家,主任医师湿疹诊疗经验均在30年以上。在治疗阴囊湿疹方面,皮肤科专家们积极发掘中国中医中药医学宝库,并结合现代西方医学的先进成果,运营中西医结合来弥补了单一技术治疗的不足,对于各种类型的湿疹治疗由表及里,标本兼顾。

合肥肤康皮肤病医院 全国皮肤病专科连锁品牌
合肥肤康皮肤病医院是国内重点皮肤病专科医院、疑难皮肤病康复基地。建院至今,始终坚持“中医为本、西医为用,中西结合”的诊疗原则。多次特邀出席国际技术探讨会议,如亚太皮肤科学论坛、诺贝尔医学峰会、国际皮肤病学诊疗新技术推广大会等,获得卫生部原副部长孙隆椿亲笔题词。

温馨提示:阴囊湿疹的治疗不能盲目,切勿盲目用药,以免耽误治疗时机,让病情的加重给自身健康造成更大的危害。合肥肤康皮肤病医院是全国皮肤病专科连锁品牌,自建院以来只专注于皮肤疾病的诊断和治疗,因此更专业。有问题找专家点击在线咨询了解详情。